Gout

Overview

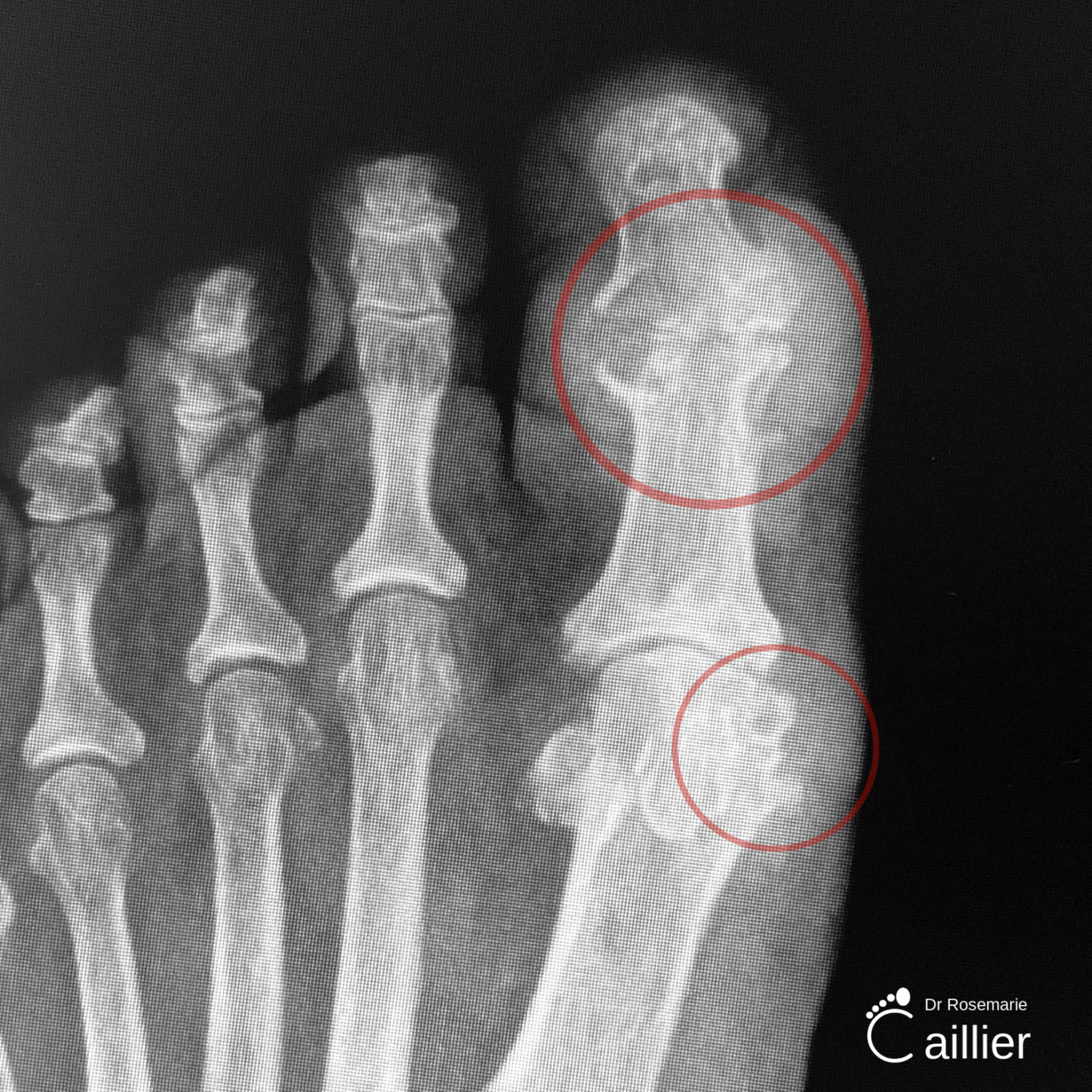
Gout is a type of arthritis that can develop in the form of sharp crystals forming in the joints, usually that of the big toe. Flare ups are called “gout attacks,” which include pain, redness, and swelling, and the general feeling that the joint is on fire. Symptoms most commonly occur during the night.

Causes

When a high development of uric acid in the blood, which normally is disposed of by the kidneys, does not happen effectively. The body creates uric acid in order to break down purines, chemical components of DNA and RNA. The lack of uric acid disposal can be attributed by kidney issues, or a diet high in purines which include red meats, organ meats, beans, mushrooms, and fish with a high concentration of oil.

Symptoms

  • Severe joint pain/ a burning sensation within the joing
  • Redness or discoloration
  • Inflammation
  • Decreased mobility
  • Severe tenderness

X-Ray Gout Image
Gout

Treatment

There are many ways to control a gout flare up from home, including: cold compresses, drinking water, and reducing the amount of purines in your diet. However, medicine prescribed by a healthcare provider is also applicable, such as steroids and NSAIDs. Take medicine as soon as an oncoming attack is detected.